Was sind die neuesten Entwicklungen in der Schmerztherapie bei Tieren?
Jüngste Fortschritte im Bereich des Schmerzmanagements in der Veterinärmedizin für Hunde und Katzen haben zu verfeinerten Schmerzbewertungstechniken, innovativen pharmazeutischen Anwendungen und anderen fortgeschrittenen therapeutischen Methoden geführt. Insbesondere haben sich nervenzielgerichtete Ansätze, wie die ultraschallgeführte Lokoregionalanästhesie und die Akupunktur in den letzten Jahren als sehr wirksam erwiesen. Ultraschallgesteuerte Infiltrationen ermöglichen eine präzise Verabreichung von Betäubungs- und Schmerzmitteln direkt an gezielte Nerven- oder Gewebestellen und bieten eine deutliche lokale Schmerzlinderung ohne die typischen Nebenwirkungen traditioneller Schmerzmittel. Diese neuen Methoden sind besonders vorteilhaft für die Behandlung von chirurgischen Schmerzen und chronischen Zuständen, bei denen herkömmliche Schmerzmanagementstrategien ungeeignet oder unzureichend sind. So können beispielsweise Hunde mit Hüftdysplasie, die nicht für eine Operation in Frage kommen, nun mit diesen Methoden behandelt werden. Erfahren Sie mehr über diese neuesten Entwicklungen in der Schmerztherapie in diesem Artikel.
Was sind die Ziele dieser neuen Schmerztherapien?
Unser primäres Ziel am Tierspital Zürich ist es, Schmerzen bei Hunden und Katzen zu verhindern und ihnen eine hohe Lebensqualität zu ermöglichen. An unserem Universitätsspital erhalten die Tiere eine individuell angepasste Schmerztherapie. Diese spezifische Schmerztherapie verfolgt einerseits einen präventiven Ansatz, der die Schmerzentstehung bereits im Vorfeld unterdrückt. Zum anderen setzt sie auf einen multimodalen Ansatz, d.h. auf den Einsatz verschiedener, unterschiedlich wirkender schmerzlindernder Medikamente und Techniken. Dies soll den Komfort gewährleisten, Leiden verhindern und den Bedarf an systemisch verabreichten Schmerzmitteln reduzieren. Bei der Behandlung von operationsbedingten Schmerzen verkürzen diese Massnahmen die Verweildauer unserer Patienten im Krankenhaus erheblich, da sie besser und schneller aus der Narkose erwachen. Diese Faktoren sind entscheidend, um den spezifischen Bedürfnissen unserer Patienten gerecht zu werden und eine optimale tiermedizinische Versorgung zu gewährleisten.
Benötigt mein Tier eine Schmerztherapie?
Schmerzmanagement wird seit den letzten 20 Jahren als wesentlicher Bestandteil der Tiermedizin betrachtet. Nicht nur Haustiere, die sich einer Operation unterziehen, sind Kandidaten für eine Schmerztherapie, sondern Patienten mit jeglichen Erkrankungen benötigen eine optimale Schmerzbehandlung. Chronische Schmerzen sind bei unseren Haustieren allgegenwärtig, am häufigsten als Folge von Arthrose (Osteoarthritis). Schätzungen zufolge leiden fast 40% der Hunde und über 50% der Katzen daran. Chronische Schmerzen können jedoch auch die Folge von Zahnschmerzen, Wirbelsäulenbeschwerden oder Schmerzen, die durch eine Krebserkrankung verursacht werden, und anderen chronischen Zuständen sein. Aus diesem Grund bieten wir neu eine Schmerztherapie für Hunde und Katzen mit chronischen Schmerzen an, die für eine Operation nicht in Frage kommen. Gerne erklären wir Ihnen, wie Ihr Haustier von diesen Schmerztherapien profitieren kann.
Wie erkenne ich, ob mein Tier Schmerzen hat?
Das Erkennen von Schmerzen bei Haustieren kann schwierig sein, da Tiere oft versuchen, Schmerzen zu verbergen. Anzeichen für Schmerzen können Verhaltensänderungen wie erhöhte Aggression, Rückzug oder Verstecken sein. Auch körperliche Merkmale wie eine veränderte Haltung, Hinken oder Schwierigkeiten beim Springen können auf Schmerzen hindeuten. Vermehrtes Vokalisieren, Hecheln oder Veränderungen der Fress- und Schlafgewohnheiten sind ebenfalls häufige Anzeichen.
Wenn Sie als Tierbesitzer plötzliche oder subtile Veränderungen im Verhalten oder in der körperlichen Verfassung Ihres Tieres feststellen, empfehlen wir Ihnen, einen Tierarzt für eine gründliche Untersuchung aufzusuchen. Die Früherkennung von Schmerzen kann zu einer effektiven Schmerzbehandlung unserer Haustiere beitragen. Unser Team ist auf die Erkennung von Schmerzen bei Tieren spezialisiert und steht Ihnen bei Unsicherheit jederzeit gerne zur Verfügung. Bei Bedarf können wir eine individuelle Schmerztherapie für Ihr Haustier erstellen.
Mein Tier wird operiert. Wird es Schmerzen haben und wie werden diese behandelt?
Die Schmerzbehandlung erfolgt bei allen Tieren, welche bei uns operiert werden, individuell und wie oben beschrieben mit einem präventiven und multimodalen Ansatz. Im Tierspital Zürich haben wir bei fast allen chirurgischen Eingriffen verschiedene Lokalanästhesietechniken in unsere Routineprotokolle integriert. Bei diesen „Lokoregionaltechniken“ wird die Schmerzausschaltung gezielt auf eine bestimmte Körperregion angewendet, indem Schmerzmittel direkt am Wirkungsort injiziert werden, um die Weiterleitung von Nervensignalen zu blockieren und so die Schmerzempfindung zu verhindern. Dieser Ansatz reduziert den Bedarf an systemischen Medikamenten, erhöht den Patientenkomfort und beschleunigt die postoperative Erholung sowie den Appetit, wodurch der Aufenthalt am Tierspital deutlich verkürzt wird.
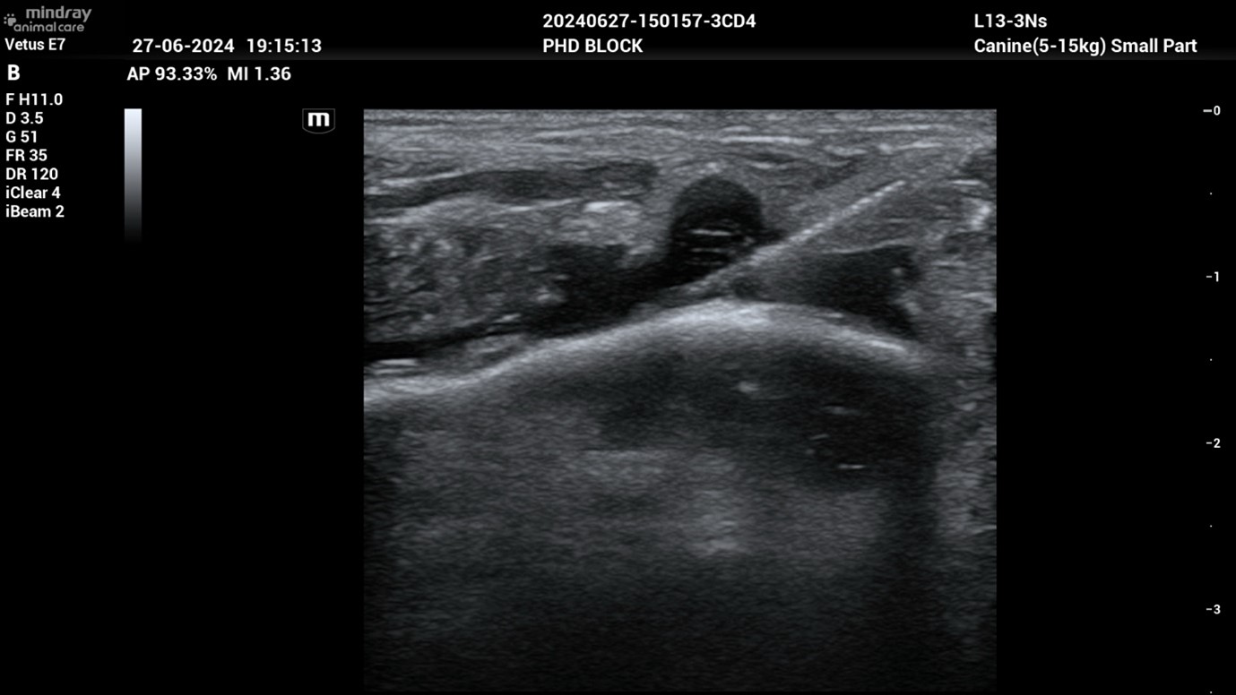
Mein Hund leidet an Hüftdysplasie. Bietet sich eine gezielte Schmerztherapie an?
Ja, der PHD-Block (Pericapsular Hip Desensitisation) ist eine wirksame Methode zur Schmerzbehandlung bei Hunden mit Hüftgelenksproblemen, insbesondere Osteoarthritis oder Hüftdysplasie. Dieser Block wird mit Ultraschall durchgeführt und hat zum Ziel, die Schmerzübertragung über bestimmte Nervenäste des oberen Gesässnervs gezielt zu unterbrechen. Diese Nerven versorgen insbesondere den vorderen und hinteren Bereich der Hüftgelenkskapsel, der für die Schmerzwahrnehmung bei Hüfterkrankungen entscheidend ist. Ein Lokalanästhetikum sowie ein langwirksames Schmerzmittel werden gezielt in die Nähe dieser Nerven injiziert, um die Schmerzleitung vorübergehend zu blockieren. In der Praxis bietet dieser Block eine wichtige Option zur Schmerzkontrolle, die dazu beitragen kann, die Lebensqualität von Hunden mit schwer behandelbaren Hüfterkrankungen zu verbessern. Es ist wichtig, dass solche Verfahren von erfahrenen Veterinäranästhesisten durchgeführt werden, um die Sicherheit und Wirksamkeit der Behandlung zu gewährleisten. Wir bieten diese Option am Universitären Tierspital an.


Kann Akupunktur als ergänzende oder alternative Behandlung eingesetzt werden?
Ja, die Akupunktur wird bei Kleintieren bei verschiedenen Erkrankungen erfolgreich eingesetzt und hat sich in den letzten Jahrzehnten erfolgreich in der Schmerztherapie etabliert. In den AAHA/AAFP (American Animal Hospital Association/American Association of Feline Practitioners)-Leitlinien zur Schmerztherapie bei Hunden und Katzen wird die Akupunktur als ein wirksames Mittel zur Schmerzkontrolle bei unseren Haustieren beschrieben.


Welche Vorteile hat die Akupunktur?
Die Akupunktur bewirkt durch das Einstechen von Nadeln eine Entspannung der Muskulatur und Schmerzlinderung durch die Bildung körpereigenen Schmerzmitteln und Botenstoffen. Zudem wirkt sie entzündungshemmend und kann die Mobilisierung und Freisetzung von Stammzellen und Wachstumsfaktoren fördern, welche die Regeneration im Gewebe beschleunigen. Die Akupunktur wird im Tierspital als Teil einer umfassenden Schmerztherapie angeboten. Es handelt sich dabei um eine sanfte Methode, die sich vor allem für Tiere eignet, bei denen eine herkömmliche Schmerztherapie keine ausreichende Wirkung zeigt. Sie kann aber auch bei der postoperativen Heilung von Bandscheibenvorfällen sowie bei orthopädischen Problemen eingesetzt werden. Die meisten Hunde und Katzen vertragen die Akupunktur sehr gut, da die Ausschüttung der körpereigenen Schmerzmittel und Botenstoffe meist zu einer Beruhigung der Tiere führt. Eine Sedation oder Narkose sollte daher nicht erforderlich sein. Grundsätzlich muss bei jedem Tier je nach Situation und Art der Erkrankung entschieden werden, ob eine Akupunkturbehandlung indiziert ist und inwieweit eine Besserung erzielt werden kann. Die Behandlung wird durch eine Tierärztin mit zertifizierter Zusatzausbildung für Veterinärakupunktur durchgeführt und die Häufigkeit und Art der Behandlung wird genau auf die Bedürfnisse und Notwendigkeiten Ihres Tieres abgestimmt und ist abhängig von der Erkrankung und den Schmerzen. In der Regel werden die Behandlungen anfangs häufiger durchgeführt und die Abstände zwischen den Behandlungen später verlängert. Unser Team berät Sie gerne über die möglichen Einsatzmöglichkeiten bei Ihrem Tier und steht Ihnen für weitere Fragen jederzeit zur Verfügung.